两岁幼童误服水宝宝,菏泽市牡丹人民医院儿科紧急施救化险为夷
大众报业·齐鲁壹点 昨天17:54
齐鲁晚报·齐鲁壹点 李可
“孩子吞了水宝宝(遇水膨胀玩具),现在一直哭!”12月3日中午13时30分,菏泽市牡丹人民医院儿科诊室的门被紧急推开,一名家长抱着年仅2岁5个月的孩子,语气慌乱地向医护人员求助 ——一场与时间赛跑的紧急救治拉开序幕。
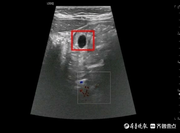
据家长描述,“水宝宝”在误服时仅有黄豆大小,可其遇水膨胀的特性让情况变得十分紧急。儿科医生王福建接诊后,第一时间联系B超室进行检查,B超室医生苏珊迅速到位,即刻为患儿开展胃肠超声检查。结果显示,仅在误服1小时后,水宝宝已在胃内膨胀至1.2x1.0cm,大小堪比玻璃球。若继续膨胀,其直径很可能超过孩子食管宽度,不仅无法通过胃镜取出,还易造成胃肠梗阻,到时候只能开刀手术!情况刻不容缓!

为最大程度降低对患儿的伤害,王福建迅速联系内镜室和麻醉科,第一时间启动多学科协作机制。麻醉科医生王振亚对患儿情况进行了全面且细致的评估,在确认安全后,为患儿实施了精准麻醉。随后,王福建凭借着精湛的医术和丰富的经验,准确锁定异物位于胃体。在内镜室王亚娟的默契配合下,使用异物网兜精准兜取,成功将水宝宝从患儿胃中取出。整个救治过程,团队分工明确、协作高效,采用无创的方式避免了患儿承受开刀之苦。术后,患儿安全苏醒,成功脱离危险。


王福建医生提醒广大家长,儿童误吞异物是极其危险的情况,特别是水宝宝、纽扣电池、磁力珠、尖锐物品等高危异物,一旦误吞,极有可能危及孩子的生命。家长们应妥善收纳此类物品,给孩子挑选玩具时优先考虑安全系数,同时加强日常看护,一旦发生误吞,务必第一时间送医,切勿自行催吐,以免造成二次伤害。

此次紧急救治,充分彰显该院在多学科联合救治急危重患者方面的技术实力与协作水平,为区域内儿童急症救治树立了高效典范。
责任编辑:李可
热门评论 我要评论 微信扫码
移动端评论
暂无评论